Buenos días amigos. Antes de nada espero que estos días de cuarentena en los que ya vemos un poquito la luz al final del túnel se estén pasando lo más rápido y mejor posible, viene la desescalada famosa, y esperemos que poquito a poquito todo vaya a mejor, yo, personalmente, estoy deseando que llegue el... Leer más →
PROPIOCEPCIÓN – I.
¡Buenos días amigos! Hoy vengo a hablaros de una gran desconocida, aunque cada vez su nombre se oye más, mucha gente no sabe de ella, y es algo esencial tanto en la recuperación de lesiones como en los entrenamientos deportivos para evitarlas, la propiocepción. La palabra "propiocepción" viene del latín y significa percibir lo que... Leer más →
Hombro – Anatomía muscular y biomecánica.
¡Buenos días amigos! ¿Que tal va la cuarentena? Yo la verdad llevo 2 días sin hacer prácticamente nada, así que he decidido ponerme un poquito las pilas hoy jejeje. Esto se está haciendo largo y madre mía, que ganas de salir un poco de casa, hacer deporte al aire libre, ver a los amigos, abrazar... Leer más →
Hombro – Anatomía articular.
¡Buenos días amigos! Seguimos para bingo con la anatomía y patología de miembro superior, hoy empezamos con el hombro, para acabar esta sobredosis de apuntes que os estoy creando. Más adelante os contaré un poquito de anatomía y patología del raquis, que también es muy muy importante, esencial diría yo, pero de por medio quiero... Leer más →
Codo – Patología.
¡Buenos días amigos! ¡Aquí estamos un día más a las 11:00 con nueva publicación! A ver si soy capaz de dejar las suficientes entradas preparadas para cuando volvamos de la cuarentena seguir subiendo a diario o cada dos días jejeje. Igualmente, a ver si soy capaz de todas las semanas dejar preparadas algunas publicaciones aunque... Leer más →
Codo – Anatomía muscular y biomecánica.
¡Buenos días amigos! ¿Que tal están? Hoy vamos a terminar con lo que nos queda de la anatomía del codo, su musculatura, que vamos a dividir en 3 grupos, y su biomecánica, que es un poquito diferente a las de otras articulaciones. Antes que nada, quería comentaros una cosita porque me he dado cuenta de... Leer más →
Codo – Anatomía articular.
¡Buenos días amigos! ¿cómo estáis? Espero que súper bien. Yo aprovechando para ponerme un poco en forma estos días, mis amigas y yo estamos siguiendo las tablas de ejercicio que os subí en instagram y además hacemos todos los días una clase de @yo_entreno_en_casa de echo ahora mismo empezamos con una de yoga, que nos... Leer más →
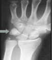
Mano y muñeca – Patología.
¡Buenos días amigos! ¿Cómo estáis? ¿Os están sirviendo las publicaciones? Espero que si. Por cierto, me vais a tener que echar una manita para saber que publicaciones son las que más os gustan, sobretodo en instagram, ya que haré un sorteito cuando llegue a los 500 followers y para eso vais a tener que ayudarme... Leer más →
Mano y muñeca – Anatomía muscular.
¡Buenos días amigos! Empezamos un nuevo día acabando el tema que os subí ayer. Recordemos, ayer repasamos toda la anatomía articular de la mano y la muñeca, viendo huesos, articulaciones y ligamentos, así que hoy vamos a por la musculatura de esta misma zona, dividiéndola en 3 grupos según la zona dónde se encuentren y... Leer más →
Mano y muñeca – Anatomía articular.
¡Buenos días amigos! ¿Qué tal estáis? ¿Aprovechando la cuarentena para estudiar? Yo igual, y es que, aunque os parezca mentira, preparando estas publicaciones estoy repasando muchísimo y recordando cositas que aunque son básicas a veces se nos van un poco de la cabeza y viene muy bien repasarlas. Además, estoy aprovechando para estudiar las oposiciones... Leer más →

